
Uit de echo blijkt dat mijn dochter een klompvoetje heeft
Oktober 2019
Wat zijn we toch blij. Ik raak veel sneller in verwachting, dan verwacht. We zitten op een wolk, welke kleur weten we nog niet. Er groeit vanaf nu een mensje in mij. Het is de echo’s afwachten, dan weten we of alles goed is.
Daar gaan we dan nietsvermoedend voor de 8-wekenecho naar de verloskundige. Alles is goed en het hartje klopt. Dat is fijn. Nu kunnen we weer wachten op de aankomende afspraken, bloeduitslagen en controles. We hebben de NIPT gedaan en echo’s gehad. Alles ziet er wederom goed uit. We weten ook ondertussen dat onze Maximiliaan, de werknaam die wij aan onze baby hadden gegeven, een vrouwelijke versie is. Dus wordt ze vanaf nu Maxi genoemd. De spannendste echo moet nog komen, die van de 20 weken. Ik voel me (ondanks het vele maagzuur) goed en vertrouw er – door alle vorige uitslagen en mijn gezondheid – op dat alles eigenlijk wel goed zit. Ik heb een goed gevoel over de 20-wekenecho.
12 Februari 2019
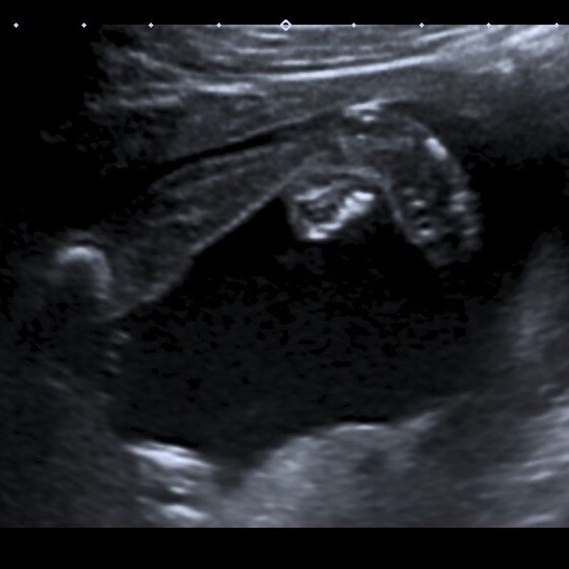
Het is zo ver, vandaag gaan we naar de 20-wekenecho. Ik vind het niet zo spannend, maar ik merk dat mijn vriend wèl gespannen is. Bij mij voelt alles goed en dat zal toch wel een voorteken zijn. Gelukkig hebben wij een goede echoscopiste. Ze heeft jaren onderzoek gedaan, had ze ooit laten vallen. Ze is erg tevreden. Het hartje, de hersenen en de niertjes heeft ze gevonden en deze zien er goed uit. Ik weet eigenlijk niet meer of ze stilviel of dat ze het gelijk vertelde, maar toen ze zei dat onze dochter waarschijnlijk een klompvoetje heeft, werden wij wat stiller. Onze echoscopiste blijft praten en geeft aan dat de andere voet goed is. Ze kan heel duidelijk zien dat de voet goed op de enkel staat. Ze vraagt of we een klompvoetje kennen. Ik zeg ja, meer op de automaat, dan dat ik echt weet wat het inhoudt. Ik heb ervan gehoord, meer eigenlijk niet. Mijn vriend heeft er ook van gehoord, maar kent het eigenlijk ook niet. Ze blijft maar door kletsen en vertelt ons duidelijk dat we ons geen zorgen hoeven te maken. De rest ziet er bij ons meisje zo goed uit, dat ze eigenlijk wel durft te zeggen dat het alleen een klompvoetje is. Het komt straks na de geboorte goed. Het WKZ is hierin in gespecialiseerd. Ze blijft ons een gerust gevoel geven. Ook geeft ze aan dat ze nog niet officieel mag zeggen dat onze meid een klompvoetje heeft. Deze diagnose kan pas echt met zekerheid gesteld worden na de geboorte. Ze stuurt ons daarom ook gelijk door voor een afspraak bij het WKZ. Wij zullen hier een extra echo krijgen. Ook krijgen we meer informatie over kindjes met een klompvoet. Ze zegt nog even gauw voor we de echokamer verlaten: “Ga niet Googlen. Hier kan je van in de war raken en misschien onnodig stressen. Het komt allemaal goed”. Na de echo hebben wij nog een gesprek met één van de verloskundigen van de praktijk. Tijdens dit gesprek krijgen wij de vraag: “Hebben jullie nog vragen over de klompvoet? Hoe voelen jullie je hierbij?“ Nog geen 10 minuten hiervoor hoorden we dat er iets “anders” is met onze dochter en beseffen we dat we geen kennis van klompvoetjes hebben. Dus deze vragen van de verloskundige konden wij beiden niet beantwoorden. We weten niks zeker, en willen gewoon meer weten over wat een klompvoetje precies inhoudt. Het laatste wat je wilt, is dat je kindje ergens last van heeft. Ik ben wat geschrokken, maar tegelijkertijd ook rustig en kalm. Mijn vriend is ook geschrokken en vraagt zich vooral af waarom ik zo kalm ben. Zelf weet ik het ook niet. We lichten gelijk onze ouders in, want ik wil het delen. Ik heb er zelf nog geen idee bij. Tom zijn moeder is kinderarts en heeft jaren op het consultatiebureau gewerkt, misschien weet zij meer. Vandaar dat we al onze ouders bellen.

Afgelopen nacht heb ik slecht tot niet geslapen. Ik was alleen maar aan het malen. Ik ben gesloopt en kan eigenlijk alleen maar huilen, als ik al even aan onze meid denk. Op mijn werk word ik gebeld. Over een week mogen we naar het ziekenhuis voor de extra 20-wekenecho. Ook hier barst ik in tranen uit. Ik wil namelijk het liefste morgen al. Ondertussen hebben we meer vrienden en familieleden ingelicht, omdat veel mensen vroegen hoe de 20-wekenecho was gegaan. Ondanks dat wij geen duidelijk antwoord hebben, vindt men ons stoer en erg sterk overkomen. Ik denk dat dit een soort automatisme is. Een kracht die je lichaam aanmaakt om zo positief mogelijk en sterk te zijn. Ondanks de lieve woorden van vrienden gaat de week langzaam voorbij.

We nemen onze ouders mee naar de echo. Want ja, zelf maak je overuren in je hoofd en sinds mijn zwangerschap werken mijn hersens heel slecht. Mijn vriend kan gelukkig goed en veel onthouden, maar wij vinden het ook prettig als er meer mensen mee kunnen. In het WKZ worden we goed ontvangen. Ze begrijpen dat er meer mensen mee zijn. Toen mocht dat nog. De vrouw die de echo maakt, is heel rustig en bespreekt alles. Ze geeft duidelijk aan wat ze ziet tijdens de echo. Na de echo gaan we in gesprek met de gynaecoloog. Hij vertelt ons over de klompvoet en het traject. Ook geeft hij ons een website voor informatie en laat hij ons een filmpje zien. Het is vooral een algemeen gesprek, want ook hier wordt duidelijk dat ze de diagnose niet met 100% zekerheid kunnen vaststellen. Dit kan pas op het moment dat onze dochter geboren is. Wat ze wel met zekerheid kunnen zeggen, is dat het gaat om een geïsoleerde afwijking. Dat wil zeggen dat het nergens anders mee te maken heeft, enkel het klompvoetje aan de rechtervoet. Haar hartje, hersenen, maag, nieren en dergelijke zien er perfect uit. Fijn om dat te horen. Met dertig weken mogen we weer terugkomen voor nog een echo en een gesprek op de gipskamer. Het WKZ is één van de 14 klompvoetcentra in Nederland. Prettig, want dit is nog geen 15 minuten rijden van ons huis. We zullen de eerste drie maanden veel naar het ziekenhuis moeten gaan. We krijgen veel informatie, maar toch voelt het goed. We weten dat de kans van genezing ruim 90% is. We kunnen nu weer genieten van de zwangerschap en wachten op de volgende echo.
We hebben de 30-wekenecho. Ondanks dat er vooral gevraagd wordt om alleen naar het ziekenhuis te gaan, gaan we samen. De artsen gaan checken of onze dochter daadwerkelijk echt gezond is en daarom wilt mijn vriend mee. Bij binnenkomst van het ziekenhuis geven ze aan dat we wel met z’n tweeën naar binnen mogen. Wat een opluchting. Uit de echo komt niets bijzonders. We hebben ondanks het klompvoetje een gezonde dochter, geeft ze aan. Nu is het wachten tot de geboorte.
Thuis krijgen we één van de orthopeden aan de telefoon, die alles nog een keer uitlegt vanaf het moment dat ons meisje geboren is. Wij nemen dan contact op met de gipskamer voor een afspraak. Deze willen ze zo snel mogelijk plannen, om te constateren of ze een klompvoet heeft, om vervolgens gelijk het traject van gipsen te starten. Het aantal gipsjes dat ze krijgt is afhankelijk van de gradatie van de klompvoet. Na de gipsperiode zal er een moment zijn dat haar achillespees wordt ingesneden (gekliefd), omdat deze spier te kort is. Deze spier moet langer worden om zo het voetje in de juiste stand te zetten. Na deze “operatie” zal ze een brace krijgen die ze 23 uur per dag om moet. Ze zullen dan langzaam die uren afbouwen totdat ze vier jaar is. Dit is een standaardplan bij een klompvoet. Ook hier geeft hij weer aan dat de artsen na de geboorte pas een persoonlijk plan gaan maken.

Op 5 juli 2020 wordt Ayla geboren na een bevalling van ruim 16 uur (bevallingsverhaal). Al snel wordt er gekeken naar haar voetje. Deze is veel bewegelijker dan wij hadden verwacht. Dit geeft ons een opgelucht gevoel, want volgens de kinderarts is dit zéker positief. Daarentegen is en blijft het wel echt een klompvoetje. “Misschien zal het traject nu hetzelfde zijn, maar minder lang”, is onze gedachte. Mijn vriend belt het ziekenhuis en we kunnen vier dagen later al terecht bij de gipskamer voor haar eerst afspraak. “Zullen we Ayla nog op de foto zetten met haar klompvoetje?”, spookt er door mijn hoofd. Ik durf het ergens toch niet. De avond voor dat Ayla naar het ziekenhuis gaat, vraag ik mijn vriend toch of hij het goed vindt als ik morgen een fotograaf langs laat komen. ik wil toch nog haar voetje vast laten leggen en foto’s van onze kleine meid als newborn zonder gipsje. Hij vindt het goed, en ziet aan mij dat ik dat graag wil. Ik heb een goede vriendin die fotograaf is en newbornshoots doet.

Donderdagmiddag op 9 juli mogen mijn vriend en ik samen naar het ziekenhuis. Er is een eenouderbeleid, wat betekent dat er per kind één ouder mee mag naar de afspraak. Maar omdat dit de eerste afspraak is, mogen we met z’n tweeën. Ik zit in een rolstoel, ons meisje in de kinderwagen en mijn vriend duwt ons in een treintje vanaf de parkeerplaats van het ziekenhuis naar de gipskamer. Al snel mogen we binnenkomen en wordt Ayla’s voet gecontroleerd door een gipsmeester en een orthopeed. Aan de hand van de ponsetimethode bekijken en controleren ze haar voet om zo de juiste gradatie vast te stellen. Doordat ze veel aan haar voetje zitten, begint ze te huilen. We hebben ooit het advies gekregen om een flesje voeding mee te nemen, zodat we haar daarmee kunnen troosten en dat helpt direct. De mate van de afwijking en de bewegelijkheid van de voet, is per kind anders. Ze moeten dit eerst vast stellen voor ze de behandeling gaat starten, zodat ze kunnen aangeven wat het eindresultaat kan gaan worden. Volgens de kinderorthopeed is de klompvoet van Ayla geen ernstig geval, maar juist eentje met een milde gradatie. Haar voet wijst naar binnen als een komma, ook wel adductus genoemd. Daarna vertellen de artsen dat er altijd wordt behandeld in vier stappen:
- Corrigeren van de voetstand met gipsverband
- Doornemen van de achillespees
- De voet-abducie brace
- Dragen van de brace tot het vierde levensjaar.

Vandaag starten we gelijk met het corrigeren van de voetstand. Het wordt in een spitsstand gezet. Ik vind het vooral op een ballerinavoet lijken nu. Het gipsverband is warm. Ze schrikt, omdat haar voet in deze stand wordt gehouden. Het gipsen vindt ze niet verkeerd, vooral lekker warm. Ze ontspant zo erg, dat ze de behandeltafel onderpoept en -plast. Dit gebeurt vaker, geven de behandelaren aan, en ze zijn er op voorbereid. Al snel kunnen we naar huis met onze meid. De eerste week gips zit er op. Volgende week mogen we terugkomen. Er staan zes afspraken vooruit gepland. Gemiddeld krijgt iemand met een klompvoetje acht gipsjes. “We beginnen eerst bij zes en kijken dan verder”, wordt er gezegd. Beladen en moe komen we thuis. Onze meid heeft haar eerste kleine gipsje. We moeten haar goed tempraturen, want het gips wordt koud en is nat. Ook moet ze slapen met haar voetje omhoog. We hebben geen visite vandaag, want het is best veel wat er gebeurt. We gaan lekker met z’n drieën op bed liggen en niets meer doen. Eten, slapen en knuffelen, dat is onze planning voor vandaag.
JANNA